Fogimplantátum beültetése - Élethosszig tartó garanciával

Fogászati helyreállítás – a legmagasabb szinten

Fogászati implantátum

A hosszú távú megoldás

A fogászati implantátum egy olyan műgyökér, melyet egy fogászati eljárás során a fogatlansággal küzdő páciensek szájában helyeznek el. Ez az implantátum egy csavar alakú, titánból vagy titánötvözetből készült eszköz, amelyet az állkapocscsontba ültetnek be. A fogászati implantátum az elvesztett fogak pótlásának egyik legstabilabb és legmegbízhatóbb módszere.

Ehhez az Image blokkhoz választani kell egy Image Asset képet. Válassz egyet a CMS-ben!

A hosszú távú megoldás - Potidental

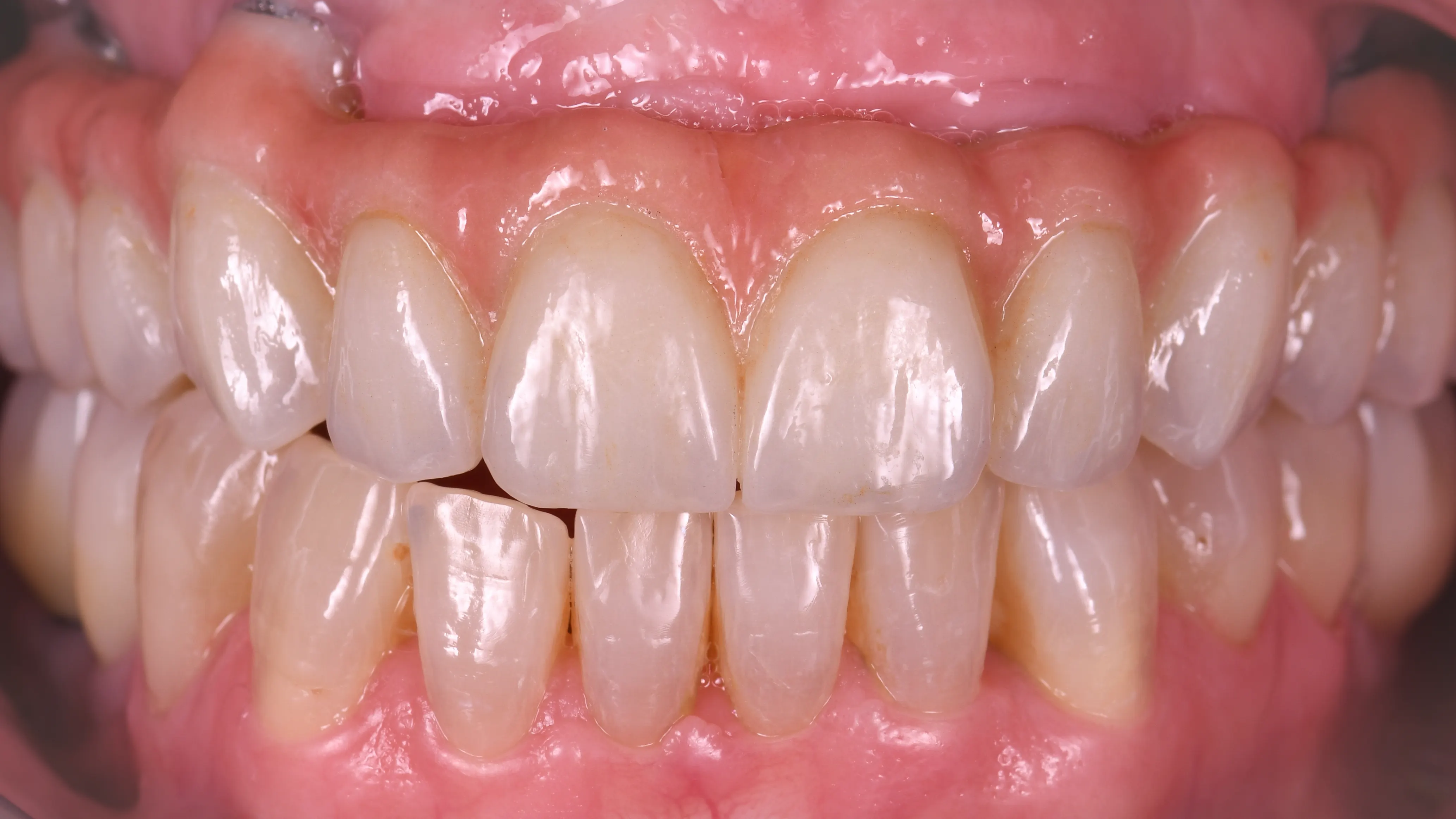
Implantátum előtte-utána

Pácienseink eredményei

Implantációs fogpótlásaink nemcsak stabilak, hanem természetes megjelenésűek is.

Fogászati kezelés előtte és utána - Implant elotte - utana 1

Használja a bal és jobb nyíl billentyűket a csúszka mozgatásához. A Home gomb 0%-ra visz, az End 100%-ra.

Dental implants - Kezelés után
Dental implants - Kezelés előtt
Dental implants - Kezelés előtt / Kezelés után

Fogászati kezelés előtte és utána - Implant elotte - utana 5

Használja a bal és jobb nyíl billentyűket a csúszka mozgatásához. A Home gomb 0%-ra visz, az End 100%-ra.

Dental implants - Kezelés után
Dental implants - Kezelés előtt
Dental implants - Kezelés előtt / Kezelés után

Fogászati kezelés előtte és utána - Implant elotte - utana 3

Használja a bal és jobb nyíl billentyűket a csúszka mozgatásához. A Home gomb 0%-ra visz, az End 100%-ra.

Dental implants - Kezelés után
Dental implants - Kezelés előtt
Dental implants - Kezelés előtt / Kezelés után

Fogászati kezelés előtte és utána - Implant elotte - utana 2

Használja a bal és jobb nyíl billentyűket a csúszka mozgatásához. A Home gomb 0%-ra visz, az End 100%-ra.

Dental implants - Kezelés után
Dental implants - Kezelés előtt
Dental implants - Kezelés előtt / Kezelés után

Fogimplantátum beültetés lépései

Lépésről lépésre

Hat jól körülhatárolt lépés vezet a diagnózistól a gyógyuláson át a tartós, természetes hatású implantátum behelyezéséig.

Lépés 1

Konzultáció

Az implantáció első lépése az állapotfelmérés és a pontos diagnózis felállítása. A fogorvos panorámaröntgen vagy 3D CBCT-felvételt készít, hogy átfogó képet kapjon a csontállomány minőségéről, és meghatározza az implantátum helyét. Az eredmények alapján készül el a személyre szabott kezelési terv, amely tartalmazza az implantációs folyamat összes lépését.

Lépés 2

Előkészítés és érzéstelenítés

A beavatkozás előtt a szájüreget alaposan megtisztítják, és helyi érzéstelenítést alkalmaznak, hogy a páciens fájdalommentesen vészelje át a műtétet. Bizonyos esetekben antibiotikumot is előírhatnak a fertőzések megelőzésére, különösen, ha a páciens immunrendszere gyengébb.

Lépés 3

Implantátum beültetése

A fogorvos egy kis bemetszést ejt az ínyen, és előkészíti a csontban a fog implantátum helyét, majd behelyezi az implantátumot, amely a mesterséges foggyökér szerepét tölti be. A műtét után az ínyt varratokkal visszazárják, hogy segítse a gyorsabb gyógyulást.​

Lépés 4

Gyógyulási időszak (osseointegráció)

A fog implantátum után következik a csontosodás, vagyis az osseointegráció időszaka, amely alatt a csont fokozatosan összekapcsolódik az implantátummal. Ez a folyamat 3-6 hónapig is eltarthat, és a stabil rögzülés érdekében fontos, hogy ez idő alatt az implantátum ne terhelődjön.

Lépés 5

Felépítmény rögzítése

Amikor a csontosodás lezárul, a fogorvos feltárja az implantátumot, és egy felépítményt, más néven abutmentet rögzít rá. Ez a felépítmény lesz az alap, amelyhez később a végleges fogpótlást, például koronát vagy hidat rögzítenek.​

Lépés 6

Végleges fogpótlás rögzítése

A végső lépés a személyre szabott korona vagy fogpótlás elkészítése és rögzítése az abutmenthez, ami biztosítja a fog természetes megjelenését és funkcióját. Az orvos finombeállításokat végez, hogy a harapás kényelmes legyen, és a páciens teljes körű tájékoztatást kap az implantátum ápolásáról.

SZÁJSEBÉSZ és implantológus

Szakértői csapatunk

A fogászati implantátum beültetése egy precíz, összehangolt folyamat, amelyben a szájsebész és a fogorvos közös munkája révén mesterséges foggyökerek kerülnek az állcsontba, megteremtve a fogpótlás stabil és tartós alapját.

A galéria váltani fog 4 másodpercenként.

Árpád Kunka

Szájsebész

Dr. Kunka Árpád szájsebész, aki több mint egy évtizedes tapasztalattal végez bonyolult szájsebészeti, implantológiai és csontpótlási beavatkozásokat. Szakmai tudásának jelentős részét Magyarország legnagyobb forgalmú szájsebészeti centrumában szerezte, ahol elsősorban nehéz, korábban elrontott esetek megoldására specializálódott.
Árpád Kunka portrait

Orsolya Varga

Fogorvos - Szakmai vezető

Dr. Varga Orsolya doktornő a fogászatunk egyik meghatározó alakja. Munkáját a perfekcionizmus és a művészi érzékenység ritka harmóniája jellemzi. Közel két évtizedes tapasztalata a legmodernebb, úttörő megoldásokra épül. Olyan szakember, aki soha nem elégszik meg a középszerűvel, mindezt azonban szerénységgel és őszinte emberséggel képviseli páciensei felé.
Orsolya Varga portrait

Adrienn Hódi-Magyar

Fogorvos

Dr. Hódi-Magyar Adrienn több mint tíz év tapasztalattal rendelkezik a fogpótlások és helyreállító kezelések területén, különös figyelmet fordítva az esztétikai beavatkozásokra és az implantológiára. Szakmai alapossága és empatikus hozzáállása biztonságot és bizalmat nyújt pácienseink számára.
Adrienn Hódi-Magyar portrait

Fogászati implantátum árak

Implantátum beültetés ára

Felhívjuk szíves figyelmét, hogy a fogászati implantátumok ára tájékoztató jellegű, mivel a végleges kezelési tervet minden esetben egyéni állapotfelmérés és konzultáció alapján tudjuk meghatározni. A pontos árajánlat elkészítéséhez személyes megjelenés szükséges rendelőnkben, ahol lehetőség van a szájüregi vizsgálatra, a kezelési lehetőségek megbeszélésére, valamint az esztétikai elvárások pontos egyeztetésére.

Konzultáció

15 000 Ft -tól

Részletek

Fogászati Konzultációnk keretében tapasztalt fogorvosaink részletesen áttekintik fogazata állapotát, és személyre szabott tanácsadással segítenek a legideálisabb kezelési terv kialakításában.

Szolgáltatás tartalma

  • Állapotfelmérés

  • Röntgen kiértékelése

  • Kérdések átbeszélése

  • Becsült árak, időtartamok

Fogászati implantátum

190 000 Ft -tól

Részletek

A fogimplantátum egy olyan műgyökér, melyet egy fogászati ​​eljárás során a fogatlansággal küzdő páciensek szájában helyeznek el. Ez az implantátum egy csavar alakú, titánból vagy titánötvözetből készült eszköz, amelyet az állkapocscsontba ültetnek be. A fogászati implantátum az elveszett fogak pótlásának egyik legstabilabb és legmegbízhatóbb módszere.

Gyakori kérdések a fogászati implantátumokról

Hasznos tudnivalók

Összegyűjtöttük a leggyakoribb kérdéseket a fogimplantátumokról, hogy pontos képet kapjon a kezelés menetéről és a lehetőségekről. Szeretnénk segíteni, hogy teljes körű információ birtokában, nyugodtan és magabiztosan keresse fel rendelőnket.

Számtalan megoldás létezik, attól függően, hogy milyen fogpótlást szeretnénk. Ha a fogpótlás kivehető, de az implantátum javítja a rögzülést, akkor akár kettő implantátum is elegendő. Ha nem szeretnénk, hogy kivehető fogpótlás készüljön, akkor minimum négyre lesz szükség.

A műtéti körülmények megteremtése miatt akár fél- vagy egy óra is lehet a beavatkozás. Ebbe beletartozik az érzéstelenítés, a steril lepedők felhelyezése, a türelmes kommunikáció és tájékoztatás. Maga az implantátum beültetése öt-tíz perces folyamat, de bonyolultabb esetekben, vagy sok implantátum beültetése esetén ez az idő hosszabbodik.

A legtöbb esetben helyi érzéstelenítésben végzik a beavatkozást, így maga a folyamat fájdalommentes. A műtét utáni enyhe fájdalom és duzzanat gyakori, de általában fájdalomcsillapítókkal jól kezelhető.

A fogászati implantátum behelyezése után 3-6 hónapos gyógyulási idő szükséges, hogy az implantátum és az állcsont teljesen összenőjön. Ez az osszeointegráció folyamata, amely létfontosságú a sikeres fogpótlás-készítés szempontjából.

Megfelelő ápolás és rendszeres fogorvosi ellenőrzés mellett az implantátum akár évtizedekig is tartós lehet. Az implantátumok sikerességi aránya nagyon magas, különösen jó szájhigiénia esetén.

A fogászati implantáció általában 18 év feletti páciensek számára ajánlott, akik egészséges csontállománnyal rendelkeznek. A dohányzás, cukorbetegség vagy más egészségügyi problémák azonban befolyásolhatják a folyamat sikerességet.

Az implantáció után átmeneti mellékhatások - például duzzanat, véraláfutás vagy enyhe fájdalom - jelentkezhetnek. Nagyobb komplikációk ritkán fordulnak elő, de fennáll a fertőzés, implantátum-kilökődés vagy esetleges csontvesztés kockázata.

Az implantátumokat ugyanúgy kell tisztán tartani, mint a természetes fogakat. Rendszeres fogmosás, fogselyem használata és szájöblítő alkalmazása segít megőrizni az implantátumok és az íny egészségét.

Az implantáció költsége sok tényezőtől függ, például az alkalmazott anyagoktól, a beültetett implantátumok számától és a kezelést végző fogorvos tapasztalatától. Az implantátumok általában drágábbak, mint a hagyományos fogpótlások, de tartósságuk miatt hosszú távú befektetésként tekinthetünk rájuk.

Nincs felső korhatár, azonban az állcsont megfelelő vastagsága és egészsége - mennyisége és minősége - elengedhetetlen.

Elérhetőségek

Kérjen időpontot!

Egy személyes találkozón közösen megtervezzük az Ön számára legszebb, legtermészetesebb mosolyt.

Telefonálok Felhívom a +36202120202 számot

Időpontot kérek

Kérjük, adja meg elérhetőségeit, és írja le röviden, miben segíthetünk. Kollégáink hamarosan visszahívják Önt.

Köszönjük! Hamarosan hívjuk.
A manóba, ez nem sikerült, kérjük telefonáljon!
Dr. Tóth Petra parodontológus
Dr. Tóth Petra parodontológus

Kapcsolódó esettanulmányok

Valós kezelési minták, amelyek segítenek jobban érteni a folyamatot és a várható eredményeket.

Kapcsolódó orvosok

Az adott területhez kapcsolódó szakemberek, kiemelt tapasztalattal és kapcsolódó kezelésekkel.

  • Dr. Varga Orsolya

    Fogorvos - Szakmai vezető

    Dr. Varga Orsolya

    Dr. Varga Orsolya doktornő a fogászatunk egyik meghatározó alakja. Munkáját a perfekcionizmus és a művészi érzékenység ritka harmóniája jell…

    Részletek
  • Dr. Kunka Árpád

    Szájsebész

    Dr. Kunka Árpád

    Dr. Kunka Árpád szájsebész, aki több mint egy évtizedes tapasztalattal végez bonyolult szájsebészeti, implantológiai és csontpótlási beavatk…

    Részletek
  • Dr. Póti László

    Alapító, Fogorvos

    Dr. Póti László

    Mindig is lenyűgözték a különleges megoldások és a fine tech világának innovatív vívmányai. Ezek az új technológiák és kreatív megoldások in…

    Részletek

Kapcsolódó tudástár cikkek

További magyarázatok, gyakori kérdések és döntési szempontok ugyanebben a témakörben.